ANH MAI HỒ T (VIỆT KIỀU ÚC)

Khách hàng cấy Implant

tình trạng

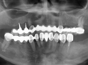
Mất nhiều răng hàm trên. Màu răng ố vàng, hình thể răng không đều

TÓM TẮT KẾ HOẠCH ĐIỀU TRỊ

ĐỘI NGŨ THỰC HIỆN

Cấy ghép implant

NGUYỄN VĂN A

Phục hình sứ trên implant

NGUYỄN VĂN D

Phụ tá chính

ĐINH VĂN C

Phụ tá chính

ĐINH VĂN D

Phụ tá chính

ĐINH VĂN E

Trước

Sau

ANH MAI HỒ T (VIỆT KIỀU ÚC)
  • Cấy ghép Implant All On 6 hàm trên
  • Bọc răng sứ toàn hàm dưới
Vượt hơn 8.000 km từ Úc về Việt Nam để làm răng, chị K đã chọn Nha khoa 5Brothers bởi ba lý do chính: giới thiệu từ người thân, phản hồi tích cực về chất lượng phục vụ và chi phí trọn gói minh bạch kèm thăm khám miễn phí. Nhiều kiều bào đang tận dụng chuyến về thăm quê hương để hoàn tất điều trị nha khoa—vừa tiết kiệm chi phí, vừa không phải sắp xếp thêm lịch tái khám. Chị Khánh cũng không ngoại lệ khi lên kế hoạch kết hợp thăm gia đình và trồng Implant, bọc sứ ngay tại 5Brothers theo lời khuyên của bạn bè.

“Tôi nghe bạn mình làm răng tại 5Brothers khen ngợi không ngớt: bác sĩ tận tình, trang thiết bị hiện đại và kết quả rất đẹp. Vậy là tôi quyết định đặt lịch ngay khi về đất nước,” chị K chia sẻ.

Từ buổi đầu thăm khám, chị đã ấn tượng với phong cách chuyên nghiệp của đội ngũ bác sĩ và nhân viên tại 5Brothers. Đặc biệt, bác sĩ Nguyễn Văn A giải thích cặn kẽ từng bước, giải đáp mọi thắc mắc giúp chị hoàn toàn an tâm trước khi điều trị.
Kết quả thực tế khiến chị K rất hài lòng:

  • Kỹ thuật mài răng nhẹ nhàng, hạn chế ê buốt.
  • Nhân viên chăm sóc ân cần, như người thân trong gia đình.
  • Răng sứ Cercon HT cao cấp, bền chắc và thẩm mỹ tự nhiên.
  • Chỉ cần hai lần hẹn, rút ngắn đáng kể so với việc chờ đợi nhiều tháng ở nước ngoài.

“Thật bất ngờ khi quá trình bọc sứ hoàn tất chỉ trong vài tuần, không kéo dài đến 2–3 tháng như tôi từng trải nghiệm ở Úc,” chị K hồ hởi.

Giờ đây, với hàm răng đều đẹp và nụ cười tự tin, chị K thỏa sức giao tiếp và tận hưởng hành trình kết nối với bạn bè, người thân—một bước ngoặt đáng giá từ quyết định về nước làm răng tại Nha khoa 5Brothers.

NHẬN TƯ VẤN MIỄN PHÍ TỪ CHUYÊN GIA

ĐẶT LỊCH HẸN THĂM KHÁM NGAY

Vấn đề quan tâm

TƯ VẤN IMPLANT CHO TÔI

TIẾT KIỆM THỜI GIAN VÀ CHI PHÍ

Nha Khoa 5BROTHERS sẽ liên hệ đến Quý Khách trong thời gian sớm nhất

Nhận tất cả số điện thoại quốc tế

Gửi tình trạng răng

Nhận ngay tư vấn về thời gian và chi phí

Vui lòng để lại thông tin bên dưới, bộ phận nhân sự của chúng tôi sẽ liên hệ lại với bạn!

Nhận tất cả số điện thoại quốc tế